Inhaltsverzeichnis
Inhaltsverzeichnis
MIH-Update: Ästhetische Verbesserungen an Frontzähnen

Über die Autorin
Dr. Melanie Salz praktiziert seit über 20 Jahren in der Zahnmedizin. Sie hat sich auf Kinderzahnheilkunde spezialisiert. Seit 2013 ist sie in einer Praxis in Bad Tölz tätig.
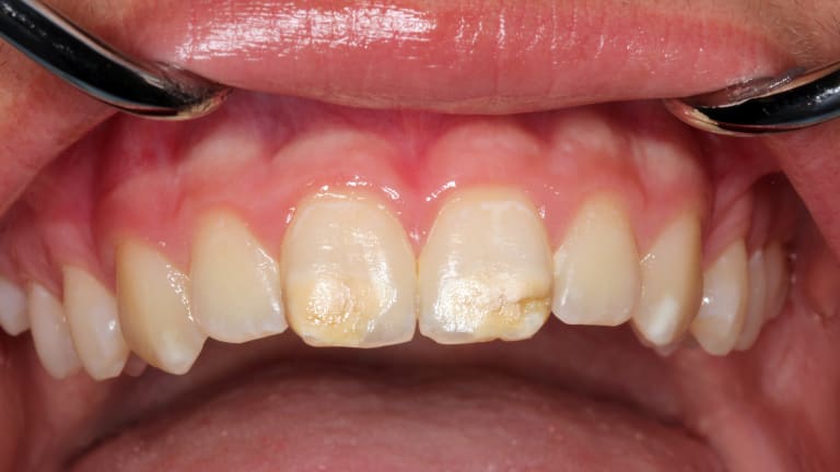
Kaum eine Zahnärztin oder ein Zahnarzt kommt an ihr vorbei: der MIH (Molaren- Inzisiven-Hypomineralisation). Rund jedes siebte Kind ist von ihr betroffen. Forschende sind seit Jahren dabei, Therapien zu optimieren, denn besonders in schweren Fällen ist eine rechtzeitige Behandlung entscheidend.

MIH (Molaren-Inzisiven-Hypomineralisation), umgangssprachlich „Kreidezähne": Hier sind die Frontzähne eines Kindes betroffen.
© picture alliance / Prof. Dr. Norbert Krämer/dpa | Prof. Dr. Norbert Krämer
Diese Inhalte werden präsentiert von