Seniorin (72): Ungeklärtes AKI und Infekt ohne Erreger
Die Ursachen für akute Nierenfunktionseinschränkungen (AKI) können vielfältig und die Spurensuche danach herausfordernd sein. War im folgenden Fall ein ungeklärter Infekt der wichtigste Auslöser?
Lesedauer: ca. 6 Minuten

Den folgenden Fall und wie dieser systematisch gelöst wurde, schilderte PD Dr. med. Mira Choi, Oberärztin an der Medizinischen Klinik mit Schwerpunkt Nephrologie und Internistische Intensivmedizin an der Charité Universitätsmedizin Berlin, auf dem 130. Kongress der Deutschen Gesellschaft für Innere Medizin e. V. | Redaktion: Dr. Cindy Hempp
Eine 72-jährige Seniorin wird aufgrund von akutem Nierenversagen und einem Infekt unklarer Genese aus einem anderen Berliner Krankenhaus an die Berliner Charité überwiesen. Zu diesem Zeitpunkt zeigt sich die Patientin in einem reduzierten Allgemeinzustand und klagt über Bauchschmerzen mit begleitender Übelkeit und Kurzatmigkeit. Sie berichtet über wässrige Diarrhoen bei normaler Stuhlfrequenz und schätzt ihre Urinmenge auf etwa 300 ml pro Tag.
Vorgeschichte: Infektwerte, aber kein Erreger
Der Beginn war schleichend und die Patientin war 2 Wochen zuvor wegen Schwäche, Oberbauch- und Rückenschmerzen im ersten Klinikum aufgenommen worden. Hier wurden folgende Laborparameter festgestellt:
- Kreatininanstieg von 0,9 mg/dl auf 3,2 mg/dl
- Leukozytose von 40/nl
- CRP 250 mg/dl
Wegen des Verdachtes auf einen bakteriellen Infekt wurde eine kalkulierte intravenöse Antibiotikatherapie mit Ampicillin/Sulbactam und Ceftriaxon begonnen. Die Infektwerte stagnierten jedoch, weshalb ein Wechsel der Antibiose auf Piperacillin/Tazobactam erfolgte. Weder in den Blutkulturen noch in den Urinkulturen konnte ein Erreger nachgewiesen werden. Im initial durchgeführten CT war kein Infektfokus erkennbar. Eine Volumengabe mit mehreren Litern Vollelektrolytlösung führte zu keiner Verbesserung der Diurese. Diese war weiter rückläufig und die Patientin nahm 6 kg zu.
Anamnese bei der Aufnahme an der Charité
Bei der Aufnahme wurden folgende Vitalparameter erhoben:
- Subfebrile Temperatur: 37,3°C
- Blutdruck: 193/78 mmHg
- Puls: 96/min
- O2-Sättigung unter Raumluft: 89 %
- Glasgow Coma Score (GCS): 15
- Ausgeprägte Beinödeme
- Anasarka
- Deutliche Pleuraergüsse
- Kardiologische Auskultation: unauffällig
Die Seniorin berichtet, dass sie in der Hotelbranche und Gastronomie gearbeitet habe, bis vor kurzem über 30 Jahre geraucht und täglich Alkohol getrunken habe. In ihrer Familie gäbe es keine Häufung renaler, maligner oder autoimmuner Erkrankungen und sie habe sich bisher selbständig versorgt.
An Vorerkrankungen sei eine erhöhte Leukozytenzahl seit der Kindheit bekannt. Des Weiteren ein arterieller Hypertonus seit ca. 20 Jahren. Gallenblase und Blinddarm wurden bereits vor längerem entfernt. Allergien sind keine bekannt – abgesehen von einem flüchtigen Ausschlag nach Novalgin-Gabe im vorhergehenden Krankenhaus.
Ihre Medikation besteht aus:
- Bisoprolol und Torasemid für den Bluthochdruck
- Hydromorphon gegen ihre chronischen Rückenschmerzen
- und Pantoprazol
Prä-, intra- oder postrenal?
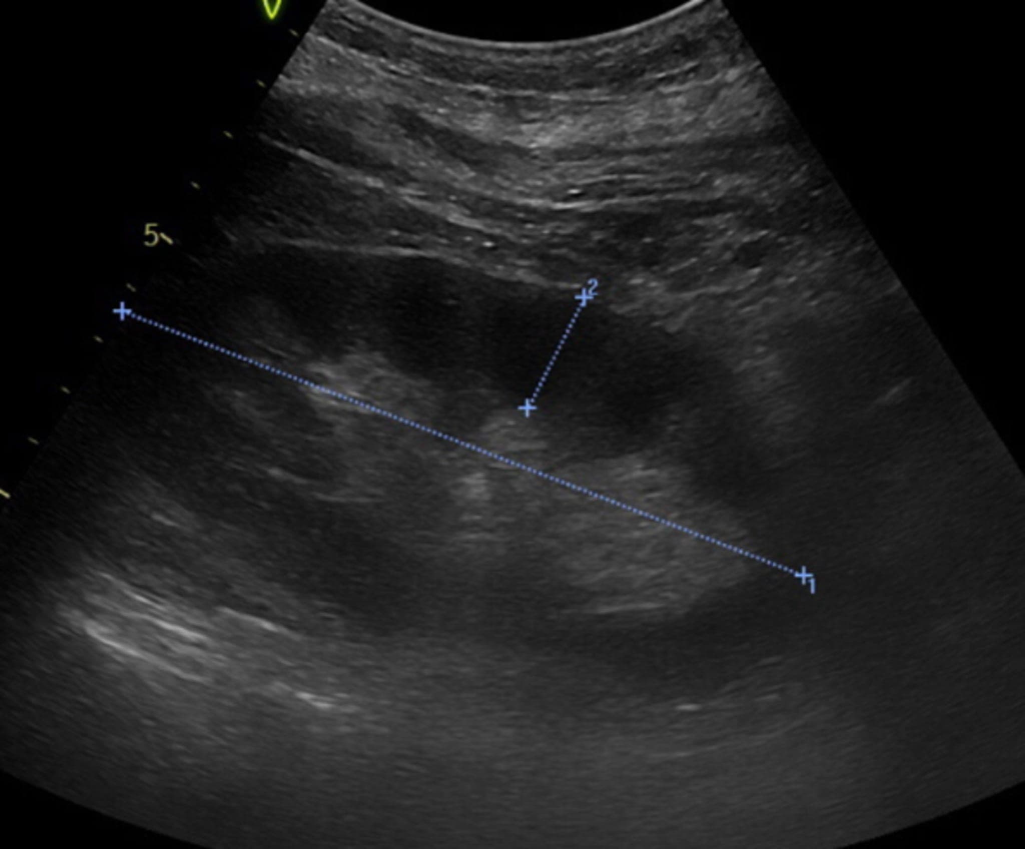
Entsprechend des Kreatinin-Anstieges wird das AKI als Stadium AKIN 3 bewertet. Bei der Genese stellt sich die Frage, ob die Ursache der Nierenschädigung prä-, intra- oder postrenal ist. In der Bildgebung (CT und Sonografie) gibt es keine Hinweise für eine Harnstauung oder eine Uretherobstruktion, sodass eine postrenale Ursache ausgeschlossen werden kann. Eine prärenale Ursache scheint möglich – denn offenbar hatte die Patientin einen deutlichen Infekt. Jedoch gibt es keine Hinweise für eine Volumendepletion, sodass eine intrarenale Ursache am wahrscheinlichsten ist.
Bildgebung und Laborwerte ohne klaren Anhaltspunkt
In der Bildgebung finden sich zwei normal aussehende Nieren, Leber und Pankreas sind unauffällig, ebenfalls unauffällige Gefäßabgänge arteriell und venös und eine etwas verdickte Dünndarmschlinge.

Bei den Laborergebnissen fallen im Blut und Urin insbesondere folgende Werte auf:
Labor:
- Kreatinin 3,2 mg/dl
- CRP weiterhin bei 250 mg/l
- LDH mit 318 U/l gering erhöht
- Procalcitonin 1,7 µg/l
Differenzialblutbild:
- Eine deutliche Anämie mit einem Hämoglobin von 7,9 g/dl
- Leukozyten 31/nl
- Myelozyten 1 %
- Retikulozyten 164,4/nl
- HbA1c 6,1 %
Urin und Urinsediment:
- Proteinurie 5,7 g/g Kreatinin, Albuminurie 4,4 g/g Kreatinin
- Blut: +++
- Zahlreiche eumorphe Erythrozyten
- keine Akanthozyten
- Vermehrt hyaline Zylinder und einzelne granulierte Zylinder
- Kokken in Ketten
- Vereinzelt Leukozyten
Zu diesem Zeitpunkt wird die antihypertensive Medikation fortgeführt und ein Rekompensationsversuch mit Furosemid und Humanalbumin gestartet. Dadurch wird eine leichte Steigerung der Diurese (650 ml) erreicht. Doch der Kreatininwert steigt im Verlauf weiter auf 6 mg/dl.
Keim identifiziert – Werte verbessert – Zustand verschlechtert
Inzwischen liegen die Ergebnisse der in domo angelegten Urinkultur vor, mit Nachweis eines Enterococcus faecium. Daraufhin wird die bisherige Antibiotikatherapie auf eine resistenzgerechte Antibiose mit Linezolid umgestellt. Darunter fallen der CRP und die Leukozyten ab, die Diurese nimmt auf 1400 ml/Tag zu, doch Kreatinin und Harnstoff bleiben hoch.
Trotz Verbesserung der Entzündungswerte verschlechtert sich der Zustand der Patientin: Plötzlich treten vaskulitische Veränderungen an beiden Handinnenflächen und Füßen auf, sie wird zunehmend müde, schwach, schläfrig und vigilanzgemindert.
Im Verlauf fielen zudem noch die folgenden Laborparameter auf:
- Positiver Rheumafaktor
- beta-2-Glykoprotein positiv
- Cardiolipin IgM AK positiv
Wie geht es jetzt weiter?
Nierenbiopsie liefert die entscheidenden Hinweise
Das Team an der Charité entscheidet sich, wie auch das Publikum des Vortrages bei der DGIM, für eine diagnostische Nierenbiopsie. In der Zwischenzeit waren zur Abklärung eines möglichen Tumorleidens, einer bisher nicht erkannten Infektion oder Vaskulitis weitere diagnostische Untersuchungen erfolgt:
- eine Oesophago-Gastro-Duodenoskopie, Koloskopie und Gyn-Konsil ohne Hinweise für einen Tumor oder eine GI Blutung
- ein cMRT aufgrund der Vigilanzminderung ohne Nachweis akuter Pathologien, keine vaskulitis-typischen Veränderungen
- Test auf Kryoglobuline und Serum Amyloid A: beides unauffällig
- transösophageale Echokardiografie (TEE) ohne Nachweis von Vegetationen oder anderen Endokarditis-verdächtigen Pathologien
- Wegen der Hautvaskulitis Beginn einer Therapie mit Prednisolon 1 mg/kg Körpergewicht
Aufgrund der Vigilanzminderung und der anhaltenden Volumen-Expansion entscheidet sich das Team der Nephrologie an der Charité zur Einleitung einer Dialyse.
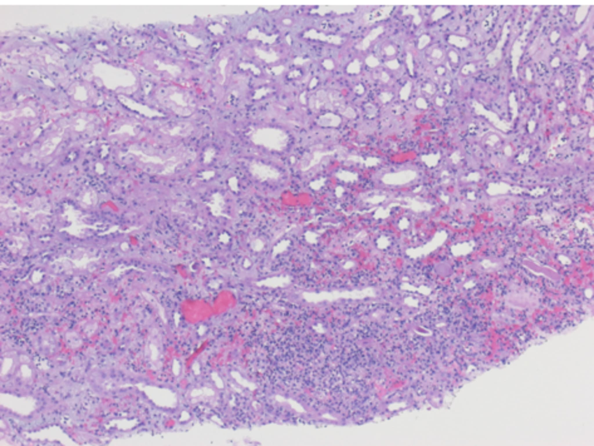
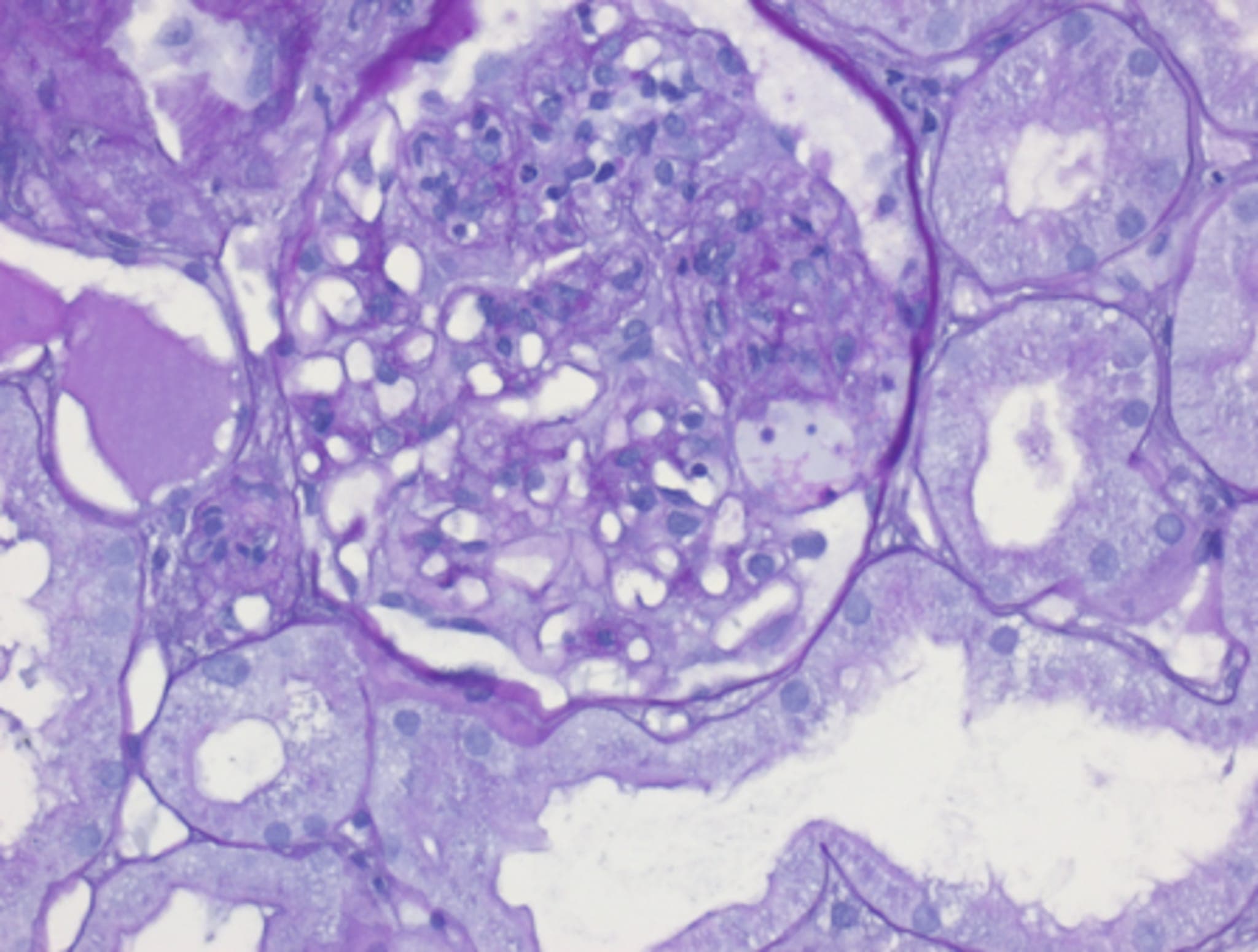
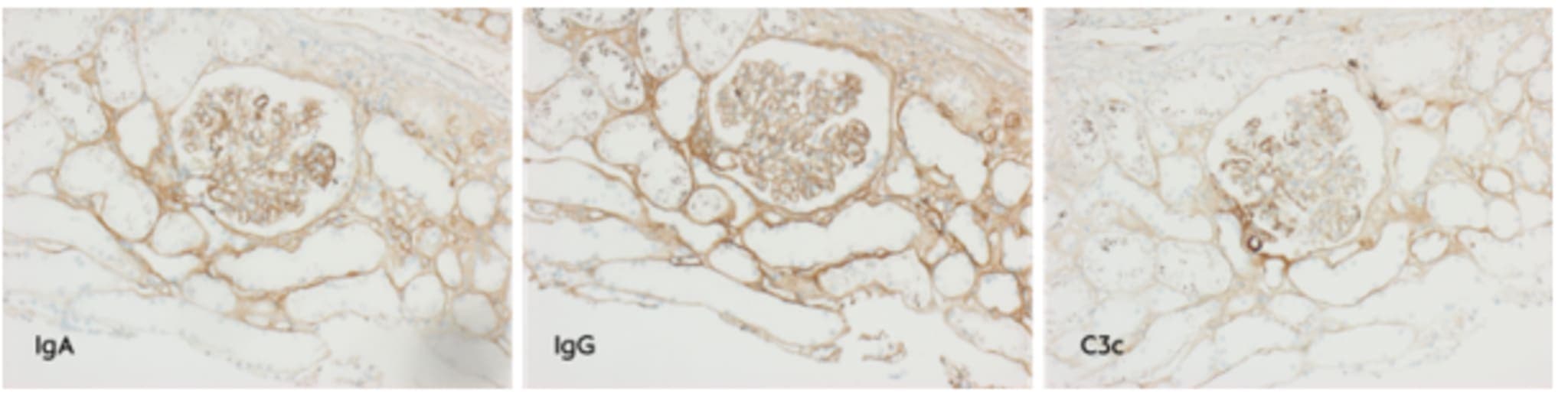
Schließlich liegen die Ergebnisse der Nierenbiopsie vor und bringen die entscheidenden Hinweise:



Intrakapillär proliferative und angedeutet auch exsudative Immunkomplex-Glomerulonephritis, a.e. Nierenbeteiligung bei IgA Vaskulitis mit zusätzlich a.e. infekt-assoziierter glomerulärer Nephropathie (GN)
Nach Prednisolongabe kommt es innerhalb weniger Tage zu einem Rückgang der Hautvaskulitis und nach 2-3 Dialysesitzungen zu einer deutlichen Verbesserung des Allgemeinzustandes: Die Patientin ist wach und voll orientiert, es kommt zu einer zunehmenden Diurese und darunter zu einem Abfall der Retentionswerte. Die bereits deutlich abgefallenen Infektparameter fallen auf Normalwerte. Die Dialyse kann daraufhin beendet werden. Schließlich kann die Patientin in einem guten Allgemeinzustand und beschwerdefrei mit folgender Medikation entlassen werden:
- Prednisolon 30 mg
- Vitamin D
- Protonenpumpeninhibitor

Für den ambulanten Verlauf wird folgende medikamentöse Einstellung empfohlen
- Beginn AT-I-Blockade
- Prednisolonreduktionsschema mit in 4 Wochen Kombination mit Azathioprin zur schnelleren Reduktion des Kortikosteroids
- Beginn mit SGLT-2 Inhibitor
Zusammenfassend wurde durch die systematische Aufarbeitung die Diagnose einer IgA Vaskulitis gestellt, welche häufiger im Kindesalter und nur sehr selten im Erwachsenenalter auftritt. Die Diagnose passt zum Beschwerdebild aus vaskulitischen Hautveränderungen, abdominellen Beschwerden der Patientin und der akuten Nierenfunktionseinschänkung.
Zusätzlich könnte eine infektassoziierte Immunkomplex GN zugrunde gelegen haben - wahrscheinlich war die Infektion der initiale Trigger. Vermutlich lag schon zuvor eine bis dahin unentdeckte renale Erkrankung vor, die bei normalen Nierenretentionsparametern nicht auffiel. Dies unterstreicht die Wichtigkeit einer zusätzlichen Urindiagnostik mit Screening auf Albuminurie und Proteinurie.

