Inhaltsverzeichnis
Inhaltsverzeichnis
Unklare Raumforderung im M. masseter

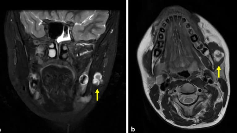
Abb. 1: Natives Kopf-Hals-Magnetresonanztomogramm der Patientin in a koronarer Schichtung (STIR T2 frFSE) und b axialer Schichtung (T2 FSE). Deutlich erkennbar ist die hyperintense Raumforderung (Pfeil). STIR „short tau inversion recovery“, frFSE „fast relaxation fast spin echo“, FSE „fast spin echo“.

Abb. 2: B‑Bild-Sonographie des Kopfes. a transversal und b longitudinal. rf Raumforderung, uk Unterkiefer, m. masseter M. masseter.

Abb. 3: Kontinuierliche intraoperative B‑Bild-Sonographie mit Darstellung der Raumforderung (Pfeil) von extraoral. Asterisk Corpus mandibulae, Raute M. masseter.

Abb. 4: Operationssitus: supraperiostale Präparation der intramuskulären Raumforderung (Pfeil).

Abb. 5: Geborgene exstirpierte Raumforderungen (rechts) und intraoperativ suspekte Gewebeproben (links und mittig)

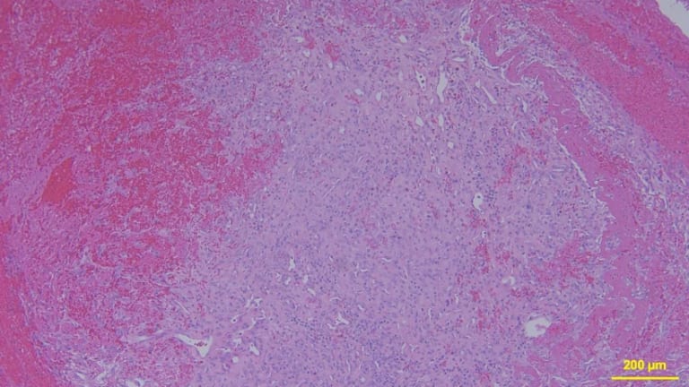
Abb. 6: Exemplarischer mikroskopischer Befund der exstirpierten Raumforderung. HE-Färbung.
Eine 11-Jährige stellt sich mit einer seit Jahren progredienten Raumforderung in der Kaumuskulatur vor, doch widersprüchliche Hinweise erschweren eine eindeutige Diagnosestellung. Was verbirgt sich hinter diesem Befund?

Schmerzhafte Schwellung der Wange bei einem Kind (Natives Kopf-Hals-Magnetresonanztomogramm der Patientin)
Diese Inhalte werden präsentiert von