Der folgende Beitrag wurde im Original von Amelie Schwenger, Christian F. Krebs, Thorsten Wiech, Tobias B. Huber und Dominik Kylies in der Fachzeitschrift Die Nephrologie unter der Creative Commons Namensnennung 4.0 International Lizenz veröffentlicht. Ein 70-jähriger Patient stellte sich zur Abklärung eines seit einem halben Jahr unklar erhöhten Serumkreatinins vor. 19 Monate zuvor wurde im Rahmen einer CT(Computertomografie)-Abdomen-Verlaufskontrolle von bekannten Nierenzysten erstmalig der V. a. eine interstitielle Lungenerkrankung („interstitial lung disease“, ILD) in den mitabgebildeten basalen Lungenabschnitten geäußert. Eine Nierenfunktionseinschränkung lag zum Zeitpunkt des CT noch nicht vor. Bei bekannter koronarer Herzkrankheit (KHK) und Aortenklappenvitium erfolgten 1 Monat später eine koronare Bypassoperation und ein Bioaortenklappenersatz. Kurz nach der Operation wurden erstmalig pulmonale Symptome im Sinne eines trockenen Reizhustens bemerkt, denen eine kardiale Genese zugeschrieben wurde. Bei kardiologischer Kontrolle fiel etwa 1 Jahr später erstmalig ein erhöhtes S-Kreatinin von 1,25 mg/dl auf. Bei zunehmender Dyspnoe und trockenem Husten erfolgte 4 Monate später eine stationäre fachpneumologische Abklärung, bei der nun die Diagnose einer ILD bildmorphologisch und mittels pulmonaler Funktionstests gesichert wurde. Das S-Kreatinin war mittlerweile auf 2 mg/dl angestiegen. Aufgrund der steigenden Nierenretentionswerte erfolgte wenige Wochen später die Vorstellung in einer Ambulanz.
Klinische Untersuchung
Bei der körperlichen Untersuchung zeigte sich ein wacher, orientierter Patient in stabilem Allgemeinzustand. Die Vitalparameter waren bis auf einen Blutdruck von 153/82 mm Hg normwertig. Der körperliche Untersuchungsbefund war, abgesehen von einem trockenen Reizhusten, nicht wegweisend. Insbesondere lagen kein Auswurf, keine Hämoptysen und keine Ödeme oder Hautläsionen vor. Die Sonografie zeigte normalgroße, nicht gestaute Nieren mit vorbekannten Zysten.
Aufnahmelabor
Laborchemisch zeigten sich ein erhöhtes Serum‑Kreatinin von 1,86 mg/dl, Kalium von 5,1 mmol/l, Natrium von 142 mmol/l, Gesamtkalzium von 2,35 mmol/l und Chlorid von 110 mmol/l. Die venöse Blutgasanalyse (BGA) ergab einen pH von 7,32 mit einem Bikarbonat von 25,6 mmol/l bei normwertigem Laktat. Das C‑reaktive Protein (CRP) war mit 37 mg/l mäßig erhöht. Das Parathormon lag bereits bei 216,8 ng/l. Die Urin-Albumin-Kreatinin-Ratio betrug 190 mg/g. In der Phasenkontrastmikroskopie des Urinsediments waren Akanthozyten und Erythrozytenzylinder nachweisbar, vereinbar mit einer nephritischen glomerulären Erkrankung. Eine Autoimmunserologie wurde abgenommen und war ausstehend.
Differenzialdiagnosen
Die Differenzialdiagnostik eines erhöhten Kreatininwertes ist breit, lässt sich jedoch durch Anamnese, klinische Befunde, Autoimmunserologie und Urinmikroskopie häufig näher einordnen. In unserem Fall zeigten sich klinisch beispielsweise keine Hinweise für einen Infekt oder eine prärenale Genese der akuten Nierenschädigung. Eine postrenale Genese konnte sonografisch ausgeschlossen werden. Anamnestisch bestand kein Hinweis auf eine medikamentös-toxische Nierenschädigung. Ein rasch ansteigendes S-Kreatinin mit systemischer Inflammation, nephritischem Urinsediment und pulmonaler Symptomatik lässt hier unter anderem an ein pulmorenales Syndrom im Rahmen einer rapid-progredienten Glomerulonephritis (RPGN) denken.
Initiales Management und weitere Diagnostik
- erhöhte MPO(Myeloperoxidase)-Antikörper (> 134 U/ml)
- erhöhte GBM(glomeruläre Basalmembran)-Antikörper (405 U/ml)
- negative antinukleäre Antikörper (ANA)
- normale C3- und C4-Komplement-Werte
- negative PR3(Proteinase 3)-Antikörper
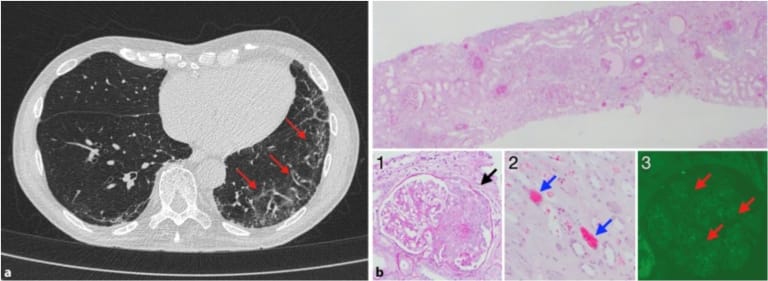
Dies führte zur Arbeitsdiagnose eines Anti-MPO/Anti-GBM-Overlap-Syndroms. Stationär wurden eine Prednisolon-Stoßtherapie sowie tägliche Plasmapheresen initiiert. Ein erneutes Thorax-CT bestätigte die extern diagnostizierte ILD, weiterhin ohne Nachweis von alveolären Hämorrhagien (Abb.
1a). Da eine Nierenbiopsie unter bestehender Plättchenaggregationshemmung nicht unmittelbar durchführbar war, wurde, um eine Verzögerung zu vermeiden, zusätzlich mit Cyclophosphamid therapiert. Die Nierenbiopsie konnte im Verlauf nach 7-tägiger Pause von Acetylsalicylsäure (ASS) komplikationslos durchgeführt werden.
Abb. 1: a Thorax-CT (Computertomografie) mit Nachweis eines basal betonten ILD(„interstitial lung disease“)-Musters (rote Pfeile) ohne Hinweise für pulmonale Hämorrhagien. b Nierenbiopsie, Übersichtsbild (oben) mit Nachweis einer halbmondförmigen floriden intra- und extrakapillären Glomerulonephritis (Bild 1, schwarzer Pfeil zeigt auf das zelluläre glomeruläre Infiltrat) sowie intratubulären Erythrozytenzylindern (Bild 2, blaue Pfeile). Die Immunglobulin-G(IgG)-Immunfluoreszenz (Bild 3) zeigt ein nur schwaches, nicht komplett lineares Färbemuster (rote Pfeile). (Histopathologische Bilder für den dortigen Artikel freundlicherweise bereitgestellt von Prof. T. Wiech, Nephropathologie UKE Hamburg)
© Quelle: Nach Schwenger A et al. 70-jähriger Patient mit akuter Nierenschädigung – „Double trouble“?. Die Nephrologie. 2025. https://doi.org/10.1007/s11560-025-00857-z. © Schwenger et al 2025, veröffentlicht unter der Lizenz Creative Commons Attribution 4.
Histopathologie
In der Histopathologie der Nierenbiopsie zeigte sich eine herdförmige, floride intra- und extrakapilläre Glomerulonephritis (GN) mit einer interstitiellen Fibrose und Tubulusatrophie (IF/TA) von 60 % (Abb.
1b). Die Immunfluoreszenz zeigte trotz des hohen serologischen Anti-GBM-Titers ein nur schwaches und nicht komplett lineares und somit eher atypisches Immunglobulin-G(IgG)-Färbemuster.
Weiterer Verlauf
Prednisolon wurde analog PEXIVAS fortgeführt, die Induktionstherapie wurde mit Cyclophosphamid (kumulativ 2,2 g) sowie Rituximab (2-mal 1 g im Abstand von 14 Tagen) durchgeführt. Die GBM- und MPO-Antikörper waren unter Therapie fallend, das CRP normalisierte sich, und die Nierenfunktion stabilisierte sich ebenfalls. Die Plasmapheresen konnten nach insgesamt 17 Behandlungen bei niedrigem, aber noch nachweisbarem GBM-Titer um 20 U/ml eingestellt werden. Nach interdisziplinärer Besprechung in unserem ILD-Board entschieden wir uns zudem gegen eine antifibrotische Therapie der ILD.
Follow-up
Bei ambulanter Kontrolle war die Nierenfunktion stabil mit einem S-Kreatinin von 2,2 mg/dl bei subjektivem Wohlbefinden des Patienten. Der GBM-Antikörper blieb persistierend niedriggradig erhöht bei 23 U/ml. Der MPO-Titer lag bei 6,3 U/ml. Prednisolon wurde nach PEXIVAS-Schema fortgeführt, die Erhaltungstherapie mit Rituximab ist geplant.
Diskussion
Unter Berücksichtigung aller Befunde wurde ein MPO/Anti-GBM-Overlap-Syndrom diagnostiziert. Klinisch zeigte sich ein protrahierter Verlauf mit zumindest über 5 Monate steigenden Retentionswerten. Dies ist ein untypischer Verlauf einer Anti-GBM-Erkrankung, die sich häufig als perakut auftretendes Nierenversagen mit schon bestehender Dialysepflichtigkeit bei Vorstellung präsentiert. Die Nierenhistopathologie war mit einer nur schwachen und nicht klassisch linearen IgG-Färbung ebenfalls nicht typisch für das Vollbild eines Anti-GBM-Syndroms. Zudem zeigten wiederholte Thorax-CT-Untersuchungen keine Hinweise für eine alveoläre Hämorrhagie, aber eine ILD.
Im Hinblick auf diese Befunde, insbesondere auch auf die eher schwache und atypische IgG-Färbung, den protrahierten, subakuten Verlauf und die ILD, welche der Nierenschädigung mehrere Monate vorausging, wurde die Erkrankung letztendlich als führende MPO-Vaskulitis gewertet und dem GBM-Antikörper in diesem speziellen Fall eine eher reduzierte biochemische Relevanz zugewiesen. Deshalb wurden die Plasmapheresen bei niedrigen, aber noch leicht erhöhten GBM-Antikörpern beendet. Da sich diese Hypothese letztendlich nicht beweisen lässt und ANCA(antineutrophile zytoplasmatische Antikörper)/Anti-GBM-Overlap-Syndrome möglicherweise aggressiver verlaufen als isolierte ANCA-GN (siehe auch nächster Absatz), erfolgte dennoch ein engmaschiges Monitoring des Patienten, inklusive seines Anti-GBM-Titers im Verlauf.
Die Datenlage zu ANCA-/Anti-GBM-Overlap-Syndromen ist aufgrund der Seltenheit der Erkrankung insgesamt limitiert. Etwa 5 % der Betroffenen mit einer ANCA-Vaskulitis weisen zusätzlich einen GBM-Antikörper auf. Patientinnen und Patienten mit einem ANCA/Anti-GBM-Overlap-Syndrom zeigen möglicherweise ein besseres renales Überleben als solche mit einer reinen Anti-GBM-Erkrankung, jedoch ein schlechteres renales Überleben als bei isolierter ANCA-Vaskulitis. Die Rezidivrate bei einem ANCA/Anti-GBM-Overlap-Syndrom liegt höher als bei einer isolierten Anti-GBM-Erkrankung. Da bei einer GBM-Erkrankung in vielen Fällen ein aggressiverer Verlauf vorliegt, wird bei Erstdiagnose häufiger ein Nierenersatzverfahren benötigt. Zusammenfassend weist ein ANCA/Anti-GBM-Overlap-Syndrom somit Charakteristika beider Erkrankungen auf.
Eine ILD wird in Studien nicht im Zusammenhang mit einer Anti-GBM-Erkrankung, jedoch sehr wohl mit einer ANCA-Vaskulitis beschrieben. Hierbei ist die ILD besonders bei Betroffenen mit MPO-Vaskulitis und seltener mit PR3-Vaskulitis assoziiert. Wie auch im vorliegenden Fall ist beschrieben, dass die ILD der Manifestation einer ANCA-Vaskulitis mit renaler Beteiligung zeitlich vorausgehen kann.
Diagnose: ANCA-/Anti-GBM-Overlap-Syndrom mit interstitieller Lungenerkrankung
Die Diagnosestellung und die Festlegung des optimalen und fallspezifischen Managements erfolgten rasch und in enger Zusammenarbeit zwischen Nephrologie und Nephropathologie in Kooperation mit Rheumatologie und Pneumologie. Das verdeutlicht die Komplexität der Behandlung seltener immunologischer Overlap-Syndrome. Patientinnen und Patienten mit diesen Erkrankungen profitieren von einer Behandlung in einem großen interdisziplinären Zentrum sowie von einer raschen Zuweisung.
Fazit für die Praxis
- ANCA(antineutrophile zytoplasmatische Antikörper)/Anti-GBM(glomeruläre Basalmembran)-Overlap-Syndrome weisen Charakteristika beider Entitäten auf und liegen prognostisch zwischen ANCA- und Anti-GBM-Erkrankung.
- Das Vorliegen einer interstitiellen Lungenerkrankung („interstitial lung disease“, ILD) ist für ANCA-assoziierte Vaskulitiden beschrieben und kann einer renalen Manifestation um Jahre vorausgehen.
- Aufgrund der Seltenheit von ANCA/Anti-GBM-Overlap-Syndromen sollten Diagnostik und Therapie vorzugsweise in großen Spezialzentren in enger Zusammenarbeit zwischen Nephrologie und Nephropathologie erfolgen.