Eine 43-jährige Frau stellt sich mit seit 1 Monat schmerzenden, verfärbten Zehen in der Rheumatologie vor. Etwa 2 Monate davor bemerkte sie erstmals Rötungen und Juckreiz an den Zehenspitzen. Der Juckreiz entwickelte sich zu einer Empfindlichkeit, gefolgt von der Bildung von Wunden an den betroffenen Stellen. Sie stellte fest, dass die Zehen empfindlich auf Kälte reagieren, insbesondere wenn sie sich bei dem vorherrschenden Winterwetter draußen aufhielt. Sie hatte kein Trauma an ihren Füßen, keine vorangegangenen Erkrankungen oder chirurgischen Eingriffe.
Die Patientin hatte in der Vergangenheit noch nie ähnliche Symptome. Ansonsten geht es ihr gut, sie hatte weder Fieber noch Gelenkschmerzen, Magen-Darm-Beschwerden oder Gewichtsveränderungen. Zu ihren aktuellen Medikamenten gehören rezeptfreie Fischöltabletten und ein tägliches Multivitaminpräparat. Sie raucht nicht und trinkt wöchentlich drei Gläser Wein.
Körperliche und Laboruntersuchung unauffällig
Bei der körperlichen Untersuchung zeigen sich keine Auffälligkeiten, sowohl die Körpertemperatur (37,1 °C) als auch der Puls (79 Schläge/Minute) sind normal. Ihr Blutdruck beträgt 112/66 mmHg.
Die Untersuchung von Kopf und Hals, einschließlich Auskultation der Halsschlagadern und Funduskopie, sowie die Auskultation der Lunge sind ebenfalls unauffällig. Die kardiologische Diagnostik zeigt normale S1- und S2-Herztöne, ohne Herzgeräusche, Reiben oder Stolpern. Ihr Abdomen ist weich und nicht empfindlich, bei der Auskultation sind physiologische, aktive Darmgeräusche zu hören. Es wurden keine Raumforderungen oder Organvergrößerungen festgestellt. Die Gefäßuntersuchung zeigt mehr als 2 Pulse im axillären, brachialen, radialen, femoralen, poplitealen, dorsalis pedis und hinteren Schienbeinbereich ohne Blutergüsse. Die neurologische Untersuchung ist ebenfalls unauffällig.
Die Laborbefunde, einschließlich eines vollständigen Blutbildes und eines umfassenden metabolischen Panels, sind normal ohne Auffälligkeiten in der Blutgerinnungsgeschwindigkeit oder Erythrozytensedimentationsrate (ESR). Es gibt auch keine anderen erhöhten Entzündungswerte. Tests auf antinukleäre Antikörper (ANA), antineutrophile zytoplasmatische Antikörper (ANCA), Rheumafaktor, Lupus-Antikoagulans, Anticardiolipin-Antikörper, Antihiston-Antikörper, Antizentromer-Antikörper und Kryoglobuline sind alle negativ, ebenso der Test auf akute und chronische Virushepatitis. Ein Arteriogramm der unteren Extremitäten zeigt ein offenes Gefäßsystem mit normalem Blutfluss.
Hautsymptomatik wirft Fragen auf
Die dermatologische Untersuchung zeigt nicht verblassende, purpurische Läsionen, die über dem Pulpabereich der rechten ersten, dritten und fünften Zehe sowie der linken zweiten und dritten Zehe liegen. Außerdem ist eine oberflächliche Ulzeration an der rechten dritten Zehe zu beobachten. Die Läsionen sind von schlecht abgegrenzten, verblassenden Erythemen umgeben (Abb. 1-3). Der Rest der dermatologischen Untersuchung ist normal, auch die Nagelfalzkapillaroskopie der oberen Extremität.
Fußläsionen
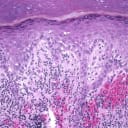
Alle 3 Bilder ansehenEine Stanzbiopsie der linken zweiten Zehe zeigt sowohl ein oberflächliches als auch ein tiefes perivaskuläres entzündliches Infiltrat, das vorwiegend lymphozytär ist, eine oberflächliche Hautblutung und eine lichenoide Gewebereaktion bzw. Interfacedermatitis (Abb. 4-6).
Stanzbiopsie
Alle 3 Bilder ansehenMithilfe der Laboruntersuchungen konnten im vorliegenden Fall Autoimmunerkrankungen und systemische Entzündungen, die ähnliche Läsionen verursachen, ausgeschlossen werden. So zeigten die negativen ANA- und ANCA-Ergebnisse, dass es sich nicht um Erkrankungen wie einem systemischen Lupus erythematodes und ANCA-assoziierten Vaskulitiden (z. B. Wegener-Granulomatose, Churg-Strauss-Syndrom und mikroskopische Polyarteriitis) handelte. Die normalen Entzündungsmarker (ESR, CRP) und das Fehlen von Symptomen wie Fieber und Gewichtsverlust machten systemische Vaskulitis und pseudovaskulitische Erkrankungen (wie bakterielle Endokarditis mit Embolie) ebenfalls zu unwahrscheinlichen Ursachen.
Gefäßchirurgische Eingriffe und endovaskuläre Katheterisierung, die eine arterielle Embolisierung mit vergleichbaren Symptomen zur Folge haben können, kamen als Ursache nicht infrage, da in diesem Fall keine derartigen Interventionen stattgefunden haben. Ein Beispiel für eine solche Embolisierung wäre das Cholesterin-Embolie-Syndrom, auch als „Blue-Toe-Syndrom“ bekannt. Eine Vaskulopathie großer und mittlerer Gefäße oder Gefäßinsuffizienz wurden ausgeschlossen, dafür sprach das normale Arteriogramm der unteren Extremität.
Die führende Differenzialdiagnose der Frostbeulen ist das Raynaud-Syndrom. Beide Erkrankungen können durch die kürzere Dauer der Anfälle bei der Raynaud-Krankheit (Stunden statt Tage) sowie durch das für Raynaud charakteristische dreiphasige Muster (Blässe und Zyanose, gefolgt von Erythem) unterschieden werden.
Diagnose: Frostbeulen
Die Diagnose für Frostbeulen wurde in diesem Fall durch die charakteristische Lage und das Erscheinungsbild der Läsionen sowie deren Zusammenhang mit Kälteexposition nahegelegt. Die harmlose Krankengeschichte und der allgemein gute Gesundheitszustand der Patientin ließen darauf schließen, dass eine schwerwiegendere Erkrankung unwahrscheinlich ist.
Grundlage für die Diagnose bildeten die Biopsieergebnisse, die lokale entzündliche Veränderungen (perivaskuläre lymphatische Infiltrate assoziiert mit papillärem Hautödem und epidermaler Spongiose) zeigten, die typisch für primäre Frostbeulen sind. Die Pathophysiologie ist noch kaum verstanden, sie scheint aber mit einer erhöhten kutanen Vasoreaktivität einherzugehen, die zu mikrovaskulären Verletzungen und einer daraus resultierenden Entzündungsreaktion führt.
Kälteschutz und Warmhalten sind essenziell bei Frostbeulen
Die Behandlung primärer Frostbeulen umfasst sowohl konservative als auch pharmakologische Therapieoptionen. Zu den konservativen Maßnahmen gehören die Vermeidung kalter Temperaturen (bspw. durch entsprechende Kleidung) und vasokonstriktiver Mittel wie Nikotin, Koffein und Ephedra-haltiger Substanzen (z. B. abschwellende Mittel und Diäthilfsmittel).
Zusammen mit dem Schutz der Extremitäten sollte die Aufrechterhaltung der Körperkerntemperatur im Vordergrund stehen, da eine Gefährdung der Körperkerntemperatur trotz ausreichender peripherer Isolierung zu einer Gefäßverengung in den Extremitäten führen kann. Hilfreich ist beispielsweise die Verwendung von mehrschichtiger Kleidung am Rumpf sowie feuchtigkeitsableitender Socken und Handschuhe.
Frostbeulen medikamentös behandeln
Nifedipin hat sich aufgrund seiner gefäßerweiternden Eigenschaften in der Therapie von Frostbeulen als wirksam erwiesen.6 Bei Dosierungen von 20–60 mg täglich reduzierte Nifedipin bestehende Läsionen und verhinderte die Entstehung neuer. Die klinische Verbesserung unter Nifedipin ging mit einer Verringerung der Hautödeme und perivaskulären Infiltrate bei der anschließenden Hautbiopsie sowie einer erhöhten Durchblutung des betroffenen Bereichs einher.
Therapieentscheidung im vorliegenden Fall
Der Patientin wurde in diesem Fall zu konservativen Behandlungsmaßnahmen geraten. Außerdem wurde die Therapie mit niedrig dosiertem Nifedipin mit verlängerter Wirkstofffreisetzung (30 mg einmal täglich) eingeleitet. Die Läsionen verschwanden innerhalb eines Monats nach der Behandlung vollständig und Nifedipin wurde nach 3 Monaten krankheitsfreier Therapie abgesetzt. Die Läsionen traten nicht erneut auf, was mit der allgemein hervorragenden Prognose für ordnungsgemäß behandelte primäre Frostbeulen übereinstimmte.
Dieser Beitrag erschien erstmals im Oktober 2023 im Original auf Medscape.com.