Inhaltsverzeichnis
Inhaltsverzeichnis
Bläschen und Papeln an Rumpf und Gliedmaßen

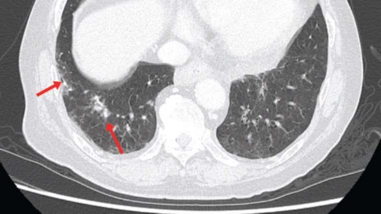
Abb. 1b: Die Computertomographie zeigt körnige und interstitielle Schatten in der Lunge.
© Navano T et al. CMAJ 2025; 197(31): 1004-1005

Abb. 2: Bläschen und erythematöse Papeln an Rumpf und Gliedmaßen des Patienten
© Navano T et al. CMAJ 2025; 197(31): 1004-1005
Ein 73-jähriger Mann, der sich nach einer Nierentransplantation einer immunsuppressiven Therapie unterzogen hatte, stellte sich mit Fieber, Schwäche, Übelkeit und Erbrechen in der Notaufnahme vor.1

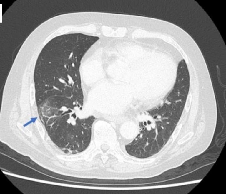
Abb. 1a: Die Computertomographie zeigt körnige und interstitielle Schatten in der Lunge.
© Navano T et al. CMAJ 2025; 197(31): 1004-1005
Diese Inhalte werden präsentiert von