Inhaltsverzeichnis
Inhaltsverzeichnis
Atemnot nach plötzlichem Absetzen eines Medikamentes
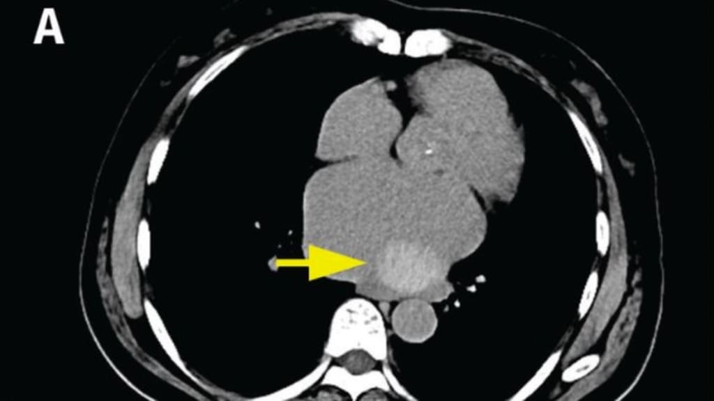
Eine 60-jährige Frau stellte sich zur präoperativen Untersuchung eines Knotens in der linken Lunge in der Thoraxchirurgie vor. Sie berichtete über ein leichtes Engegefühl in der Brust und Atemnot bei Anstrengung.1

Eine axiale Computertomographie des Brustkorbs zeigt eine Masse im Herzen einer 60-jährigen Frau mit einem Durchmesser von 3,5 cm.
© Zhou J et al. CMAJ 2025; 197(28): E868-E869
Diese Inhalte werden präsentiert von