Inhaltsverzeichnis
Inhaltsverzeichnis
Diese Inhalte werden präsentiert von
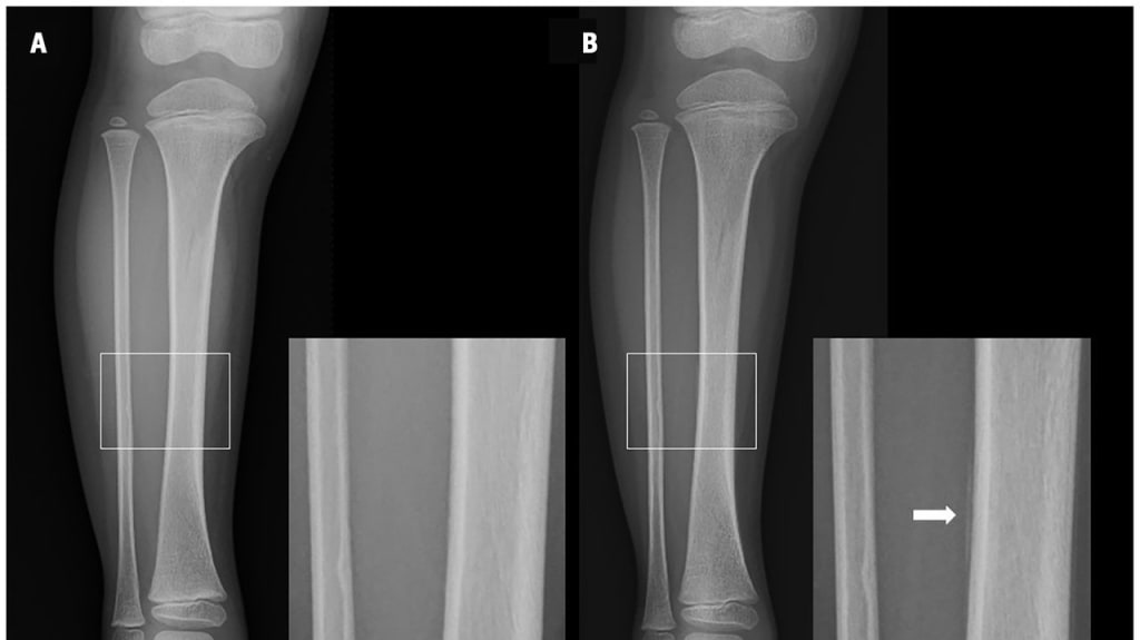
Ein 3-jähriges Mädchen wurde mit Hinken in die Notaufnahme gebracht. Am Morgen der Vorstellung war sie von einer Treppenstufe gesprungen und weigerte sich anschließend, aufzustehen.

Abb.1 Röntgenaufnahmen des rechten Unterschenkels eines 3-jährigen Mädchens, aufgenommen (A) am Tag der Verletzung und (B) 11 Tage nach der Verletzung. Vergrößerte Bilder des mittleren Schienbeinbereichs sind für beide Aufnahmen enthalten.
© Iio K & Kimura Y. CMAJ 2025; 197 (39): E1314-E1315